 
                      Dentures
Model of a complete denture supported by implants
Dentures are removable, prosthetic devices designed to replace missing teeth, and are supported by the gums and bone of the oral cavity. Partial dentures are used to replace a missing tooth to a few missing teeth. Complete dentures are for those without teeth. Complete dentures could be supported by implants to improve stability and function. Aside from helping you eat and speak more comfortably, dentures can also improve overall appearance by supporting facial muscles. Over time, dentures will need to be relined, rebased or remade as a result of normal wear and the changing shape of the mouth as one ages.
Nowadays, denture making is almost a lost art. Dr. Cheng enjoys creating and transforming existing ill-fitting dentures into beautiful natural looking dentures that patients can eat well with for years.
Spotlight Cases
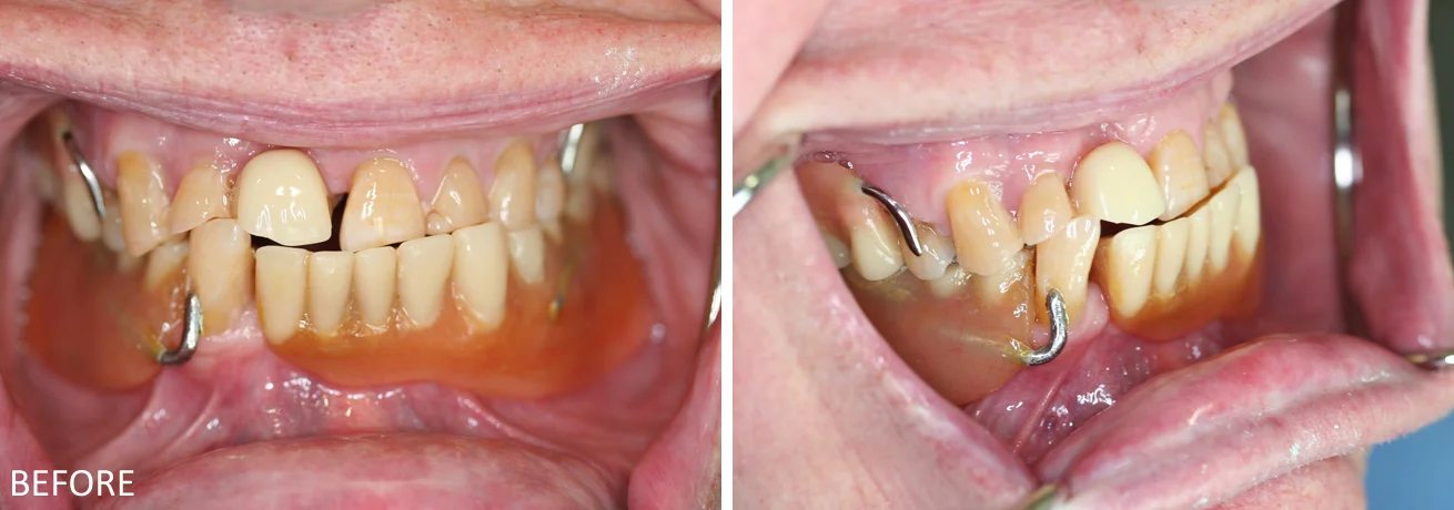
Partial Dentures Case: Before treatment
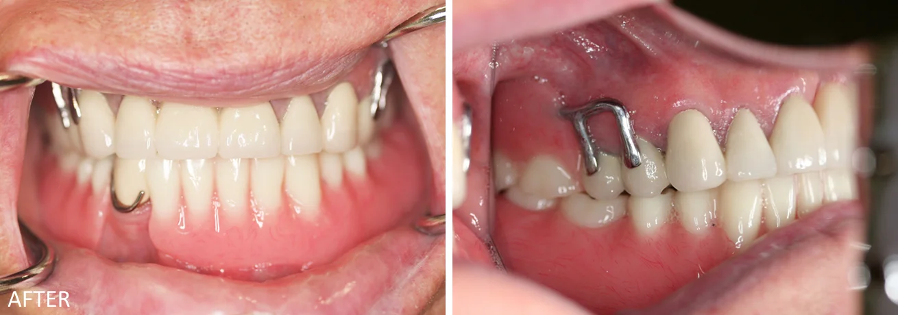
Partial Dentures Case: After treatment
Full Denture Case: Before treatment (left), patient was very unhappy with her current set of dentures. After receiving a new set, the patient was happy to smile again (right).
Full Denture Case: The workup to the patient's new set of dentures.
 
             
             
             
            